Digital Dentures

Simplify Your Denture Workflow

Digital dentures streamline the entire process—from design to delivery—reducing chair time, improving accuracy, and creating consistent, predictable results for both you and your patients.

Make the switch without disrupting your current process.

Our Digital Denture Products

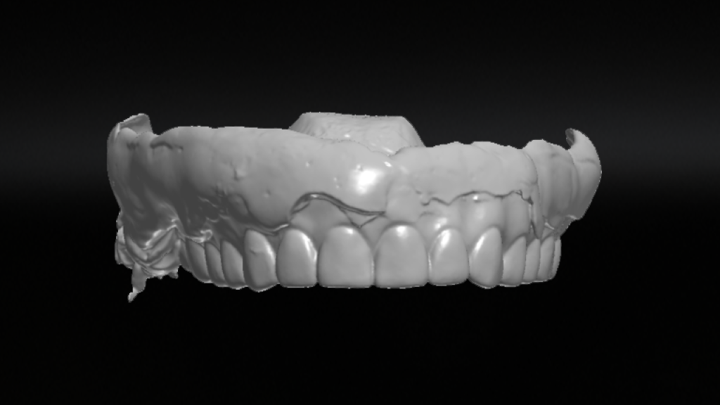
Premium Denture

The Premium Denture is fabricated by an injection heat cured method using Ivoclar IvoBase/Ivocap® which aids in consistent polymerization. More characterization is added to the denture by festooning and stippling. Kulzer Mondial teeth are used.  

Economy Denture

The Economy Denture is a cost effective denture fabricated by a cold curing process using Ivoclar ProBase® Cold. This denture has a smooth surface and minimal characterization. Classic®  teeth are used. 

Flexi Partial Denture

Our partial is printing using Cabon’s FP3D material, which is engineered for durability and low water absorption, helping maintain its shape and color over time. 

The Benefits

A digital workflow reshapes how dentures are created from start to finish. Here are the advantages that make this approach stand out.

Enhanced Precision & Fit

Fewer Patient Appointments

Accelerated Production Time

Improved Durability

Simplified Replacement and Remake Process

Customization & Aesthetics

Smile Design Previews

Improved Lab & Patient Communication

Great Comfort & Stability

Case Starting Point

Digital Dentures That Adapt To Your Patient

Every denture case begins differently. Our digital workflows are designed to support each patient type—so you can move forward with clarity and control.

Existing Denture Patient

Ideal for patients with no remaining teeth who need a traditioal full upper and or lower denture. 

Digital workflows allow us to capture impressions, jaw relations, and esthetics quickly using IOS or traditional impressions that we digitize, then design and print the final prosthesis with improved fit and predictability.

Immediate Denture Patient

For patients who still have teeth but require full extrations. 

We us pre-extraction scans (IOS or model scans) to digitally design the immediate denture in advance. After extractions, the patient leaves with their prosthesis the same day, and we can easily adapt the digital file later for relines or a definitive denture.

Edentulous Denture Patient

Ideal for patients with no remaining teeth who need a traditional full upper and or lower denture. 

Digital workflows allow us to capture impressions, jaw relations, and esthetics quickly using IOS or traditional impressions that we digitize, then design and print the final prosthesis with improved fit and predictability.

Fewer Appointments. Simplified Communication. Smarter Denture

Digital Denture Workflow

From scan to final delivery, our digital workflow simplifies every step of the denture process. By reducing manual steps and improving accuracy, we help doctors deliver better-fitting dentures with fewer adjustments and faster turnaround times.

A closer look at how digital dentures come to life.

The Future Of Dentures

Traditional Methods, Reimagined Through Technology

Unlike traditional denutres, digtial dentures use advanced technology to streamline the design & manufacturing of prosthetic teeth.

Digital dentures combine state of the art CAD/CAM design, intraoral scanning, and 3D printing to streamline the denture process while improving fit and comfort. Thanks to digitla workflows, we can reduce the number of appointments, minimize adjustments, and store the patient’s design for future remakes. At ODL, we fabricate every component in house, allowing us to maintain tight quality control and customize aesthetics, all while enabling faster turnarounds.

See the full range of traditional denture options we offer.

faq

Frequently
asked
questions.

Didn’t get your answer? We’re Here to Help!

Have questions about working with ODL?

Here are some of the most common ones we hear from our partners.

Can I still send traditional impressions?

Yes. You can continue using PVS or alginate impressions. We will digitalize all analog records in-house. Digital scans are welcome too if your clinic is equipped.

No problem – because all designs are archived, we can quickly manufacture a new denture or assist with lab-processed relines usings the original digital file. This makes relines more accurate and less labor-intensive for your team. If there isn’t a digital file to use, we can still perform a traditional reline.

Product Type Turnaround Times Pricing
ODL Economy Denture
6 Days
$
ODL Premium Denture
6 Days
$$
FP3D Flexi Partial
6 Days
$$

Absolutely. Our digital tooth libraries are highly customizable, and you can still request specific shades, molds, and esthetic setups. A printed try-in can be provided when needed.

We offer digital case planning support, including try-ins and esthetic previews. You will have more control than ever, with fewer suprises on delivery day.

Interested In Digital Dentures?

Talk to our team about getting your patients a set of digital dentures!

Digital workflows reduce the number of appointments, minimize chair time, and simplify communication between the practice and the lab. The result is a smoother process from initial records to final delivery, with designs that can be stored and easily replicated when needed.

Meet With

Bella

Wisconsin Sales Representative

Fun Fact
Bella’s family owns a vineyard in Lucca, Italy, and she has a 130lb Bernese Mountain Dog.

Get in Touch - Bella

Let's Get In Touch

Meet With Becca

Illinois Sales Rep

Summary of Becca

Please allow 24 hours for our team to respond to you.

Skip to content